インプラント

Implant

Implant

しっかり噛める幸せを
取り戻しませんか?

インプラント担当医のご紹介

田中洋一院長の写真

院長

田中 洋一

経歴

  • ・2002年3月 日本大学歯学部 卒業
  • ・2002年4月~2005年3月 日本大学歯学部口腔外科勤務
  • 都内、神奈川県内にて研鑽を積み
    ・2018年6月~ 金沢文庫もあ歯科 開業 現在に至る
  • ・歯科医師臨床指導歯科医師

資格

  • ・公益社団法人 日本口腔インプラント学会
  • ・公益社団法人 日本顎顔面インプラント学会
  • ・一般社団法人 日本インプラント臨床研究会
  • ・European Association for Osseointegration
  • ・Dental Concept 21
  • ・Osseointegration studyclub of Japan(OJ正会員)
OJ正会員の照明画像

実績

  • ・年間100本

噛める幸せを守り、
安心して通える歯科医療をめざして

歯を失ったまま放置していると、噛み合わせや骨のバランスが崩れ、やがてお口全体に大きな影響を及ぼします。そのため、しっかりと噛める状態に回復することがとても重要です。

こうしたトラブルを防ぐためには、日頃の予防が欠かせません。当院では、歯科衛生士による丁寧な予防ケアに力を入れ、健康な口腔環境の維持をサポートしています。

また、虫歯や歯周病のなりやすさには個人差があります。一人ひとりのリスクを正しく見極め、最適な治療をご提供できるよう、技術や設備を整え、すべての患者様に安心して通っていただける体制づくりを大切にしています。

万が一歯を失ってしまった場合でも、インプラントは機能性と見た目の両面で非常に優れた治療法です。当院でも、多くのご要望に応じ、これまで数多くのインプラント治療を行ってまいりました。

なかでも当院が大切にしているのは、「長く安定して使える丈夫さ」と「自然な美しさ」の両立です。手術はすべて院長である私が担当し、熟練の歯科衛生士がサポートいたします。さらに、麻酔科医による静脈内鎮静を導入し、患者様が眠っているようなリラックスした状態で治療を受けられるよう配慮しています。

全症例でナビゲーションシステムを使用し、ヒューマンエラーを極力排除した安全な手術体制も整えています。

インプラント治療は、口腔の崩壊を防ぎ、美味しく食事ができる喜びを取り戻す、大変価値のある治療です。これからも患者様の笑顔のために、誠実に向き合ってまいります。

金沢文庫もあ歯科院長田中洋一

症例

ケース

インプ
ラント
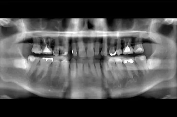
インプラントbefore after画像
  • 費用:67万円
  • 治療期間:8か月
  • 治療内容:右上1、左上、歯根の破折により抜歯。大幅に骨か吸収していたために、1回目骨造成(こつぞうせい)(GBR)手術。4か月後、インプラント埋入手術。右上1番を支台とした、12本のインプラントブリッジの被せ物

リスクと副作用

  • ・治療後、痛みや違和感、出血、腫れ、麻痺などが出る事があります。
  • ・強い衝撃を与えると、被せ物が欠けたり割れたり、外れたりする事があります。
  • ・メンテナンスが不十分な場合、インプラント周囲炎になる事があります。
  • ・必ずしもご希望通りの見た目にならない事があります。

世界中で選ばれている
インプラント製品を使用

ノーベルバイオケア社
製品を採用

特徴

  • 世界中の歯科医療機関で使用されているインプラントメーカーのひとつ
  • 特に学術的な裏付けが豊富

インプラント製品は世界中にさまざまな種類がありますが、選ぶうえで重要な判断材料のひとつが、世界的な研究数や臨床論文の蓄積です。

患者様に安心して治療を受けていただけるよう、当院では製品選びにもこだわり、信頼性のあるメーカー製品を使用することで、精度の高い治療をご提供しています。

インプラント製品を埋め込むイメージ画像
ノーベルバイオケア(NobelBiocare)社のインプラント製品画像

リスクを抑えた治療方法

ナビゲーションシステム(Xガイド)を導入したインプラント手術室の様子

ナビゲーションシステム
(Xガイド)
を導入した治療

メリット

  • 術中のリスク軽減精度向上が期待できる
  • 必要最小限の切開や削除で済む場合が多く、術後の腫れや不快感の軽減回復期間の短縮にもつながる
  • 安全性の向上:
    神経や血管などの重要構造物を避けながら、安全な位置にインプラントを埋入できます。
  • リアルタイム3Dナビゲーション:
    手術中にドリルの動きを画面で確認しながら、インプラントを埋入できます。従来よりもさらに高い精度が実現しました。

当院では、すべてのインプラント治療に「ナビゲーションシステム(Xガイド)」を導入しています。

Xガイドは、歯や骨の状態に加え、神経や血管の位置を含めた3D画像を手術中にリアルタイムで表示し、インプラントの埋入位置と角度を正確にナビゲートするシステムです。

このシステムでは、CTスキャンデータをもとに事前シミュレーションを行い、手術中にその計画に沿って施術が進められます。GPS測定による位置情報と、光学技術を組み合わせることで高精度な処置が可能となり、重要な組織への配慮にもつながります。

ナビゲーションシステム(Xガイド)の画像
ナビゲーションシステム(Xガイド)の画像
ナビゲーションシステム(Xガイド)の画像

Xガイドは現在、世界30か国以上で導入されており、その信頼性と技術力が評価されているシステムです。当院では、こうした技術の力も活かしながら、精度と安心に配慮したインプラント治療を日々提供しています。

こんな方に
当院のインプラントは
おすすめです

より精度の高い
インプラント治療を受けたい方

骨量が限られている方や
難症例の方

治療の安全性・確実性を
重視される方

女性のイラスト

日帰り手術が可能
「抜歯即時」インプラント

「抜歯即時インプラント」とは、歯を抜いたその日インプラントを埋入する治療法です。

適応可能な条件

  • 歯が折れたり割れたりして早急な抜歯が必要な場合
  • 残すことで他の歯に悪影響を与えると判断された場合

歯がない期間を作らずに治療を進められるため、見た目や日常生活への影響を抑えられる点もメリットです。適応には骨の状態などの精密な診断が必要です。

「歯はできるだけ残したい」と思うのは、誰しもが感じる自然な気持ちです。だからこそ、抜歯を伴う治療には丁寧な説明と納得が欠かせません。当院では、患者様の不安や疑問にしっかり向き合い、十分なご理解を得た上で治療を進めてまいります。どうぞ安心してご相談ください。

通常のインプラントと即時インプラントの違いを比較した画像

静脈内鎮静法について

静脈内鎮静法で治療をしている様子

当院では、インプラント治療に対する不安や緊張を和らげるために「睡眠無痛治療(静脈内鎮静法)」を導入しています。

特長

  • 痛みや音への不快感を軽減
  • 治療中の記憶がほとんど残らない

この治療法は、鎮静剤を点滴で投与することで、半分眠っているようなリラックス状態を作り出しながら治療を受けられる方法です。

施術は、麻酔を専門とする医師が全身の状態をモニタリングしながら担当するため、安全面にも十分配慮しています。
歯科恐怖症の方や、短期間でまとめて治療を終えたい方にも選ばれている治療法です。

こんな方におすすめ

  • 歯科治療に強い恐怖心や不安がある方
  • 音や振動に敏感で治療中に緊張してしまう方
  • 嘔吐反射が強くて通常の治療が難しい方
  • リラックスした状態でストレスなく治療を受けたい方
  • 短期間で集中的に治療を終えたい方(短期集中治療をご希望の方)

総入れ歯の方におすすめの
インプラント治療法

当院では、総入れ歯の方に向けて、2つのインプラント治療をご提案しています。

インプラント
オーバーデンチャー

インプラントオーバーデンチャーの画像

少数のインプラントで入れ歯をしっかり固定する治療法です。

特徴

  • 装着時のズレや浮き上がりを防ぐことができる
  • 会話や食事も快適に行える
  • 入れ歯はご自身で取り外しができ、お手入れしやすい
  • 比較的費用を抑えやすい
  • 身体への負担も軽減される傾向がある

固定性インプラントブリッジ
(オールオン4など)

固定性インプラントブリッジの画像

少数のインプラントで複数の人工歯をしっかり固定する治療法です。

特徴

  • 健康な歯を削る必要がなく自然な見た目が期待できる
  • 切らず・縫わない手術に対応できる場合もあり、腫れや痛みを抑えられることがある
  • 手術当日に仮歯を装着できるケースもあり、会話や食事への影響が少ないのも魅力

安全性を高め、患者さまの
負担を減らす取り組み

安全面に配慮した個室の手術室の様子
治療の様子
ナビゲーションシステム(Xガイド)の様子

精密な診断とナビゲーションで
低侵襲かつ正確な
インプラント治療

インプラント治療においては、体への負担をできるだけ抑えながら、安全かつ正確に処置を行うことが重要です。
当院では、CTによる立体的な画像診断や3Dシミュレーション、ツァイス社製マイクロスコープを通じて、骨の形状や神経の位置を事前に把握し、精密な治療計画を立てています

手術中はナビゲーションシステム「Xガイド」を活用し、リアルタイムで位置を確認しながらインプラントを埋入。より正確な処置と身体へのやさしさを両立した治療を行っています。

また、個室の手術室を完備し、感染対策とプライバシーにも配慮した清潔な環境で治療を受けていただけます。

当院の
インプラント治療が
選ばれる5つの理由

1

しっかり噛める日常
取り戻すインプラント治療

  • ズレにくく、硬いものも安心して食べられる
  • 見た目も自然で、口元に自信が持てる
  • 生活の質(QOL)向上につながる

入れ歯のようにズレたり外れたりする心配が少なく、しっかり噛める快適さを目指します。
ご自身の歯のように自然に噛めるようになることで、食事の楽しみや会話のしやすさも向上します。

笑顔で食事を楽しむ高齢夫婦
2

健康な歯守れる
やさしい選択肢

  • 他の歯負担をかけにくい
  • 1本だけ失った場合にも対応可能
  • 自然な歯並びを維持しやすい

インプラントは、ブリッジのようにまわりの健康な歯を削る必要がありません。
将来の歯の健康を見据えた治療法として、多くの方に選ばれています。

インプラントを埋め込むイメージイラスト
3

骨が少ない方にも
対応可能な治療体制

  • 骨造成などの専門的治療可能
  • サイナスリフトソケットリフトにも対応
  • 難症例にも丁寧に対応

顎の骨の量が少ない方でも、骨を増やす治療(GBR法など)によりインプラントが可能になる場合があります。
他院で断られたケースにも対応実績があります。

インプラント治療の様子
4

安心して受けられる、
痛みに配慮した手術

  • 希望に応じてリラックス麻酔選べる
  • 切開を最小限に抑え、身体への負担軽減
  • 術後の回復もスムーズ

静脈内鎮静法などを用いた、できるだけ負担の少ないインプラント手術を行っています。
サージカルガイドを使うことで、短時間かつ正確な治療を目指します。

インプラント治療の様子
5

精密検査
オーダーメイド
治療計画

  • 顎の骨の厚み・密度を正確に把握
  • 噛み合わせ全体バランスの確認
  • 将来を見据えたインプラント設計

CT撮影などをもとに、顎の骨の状態やかみ合わせを確認し、一人ひとりに最適なプランをご提案します。

CT撮影を元に治療計画を説明する様子

インプラント治療の流れ

STEP01

無料相談(CT撮影あり)

お悩みやご不安、ご希望を丁寧にお伺いします。
CT撮影によるお口の状態のチェックも行います。

院長によるカウンセリングの様子
STEP02

精密診断・治療計画のご提案

CT画像や口腔内の情報をもとに、患者さまに最適な治療プランをご提案いたします。

院長が治療計画を説明する様子
STEP03

インプラント埋入手術

痛みや負担を最小限に抑えながら、丁寧にインプラントを埋入します。
安全性と精度に配慮した施術を行います。

インプラント埋入手術の様子
STEP04

治癒期間(約3〜6ヶ月)

インプラントが顎の骨としっかり結合するまで、無理のないよう経過を見守ります。

STEP05

人工歯(セラミック)の装着

見た目も自然で、噛み心地や機能性にも優れた人工歯を装着します。

人工歯(セラミック)を装着する様子
STEP06

定期メンテナンス

インプラントを長く安心して使っていただくために、1〜3ヶ月ごとの定期チェックを行います。

定期メンテナンスの様子

安心の
「インプラント10年保証」

インプラントは、適切なメインテナンスを行うことで長く機能しますが、一般的には10年間問題なく使えれば“成功”とされる治療です。

当院では、治療後も安心してインプラントをお使いいただけるよう、第三者機関「株式会社ガイドデント」と提携した「インプラント10年保証制度」を導入しています。万が一に備え、公平で継続的な保証を受けられる体制が整っています。

インプラント10年保証とは、保証機関ガイドデントの認定するガイドデント認定歯科医療機関が提供するインプラントの10年保証サービスです

ガイドデント保証制度の主な特徴

全国ネットワークで保証を継続

お引越しや転勤などで通院が難しくなった場合も、全国の提携医院で保証を引き継げるので安心です。

※ご利用にはガイドデントへの事前連絡・承諾が必要です。

ガイドデントのロゴマーク

※ご利用にはガイドデントへの事前連絡・承諾が必要です。

第三者機関による公平・透明な保証制度

中立の立場で再治療の審査・承認が行われるため、信頼性の高い対応が可能です。

安定した長期保証の仕組み

再保証制度の導入など、制度自体の安定性にも配慮されています。

保証の内容

保証期間 インプラント埋入日から10年間
保証内容 インプラント体(アバットメント含む):
最大20万円まで
上部構造(人工の歯):
最大10万円まで

※繰り返し保証可能/金銭保証ではなく、再治療の役務提供型保証です。

保証を受けるための
大切な条件

保証制度のご利用には、別途加入料が必要です。
また、インプラントを長持ちさせるために、定期メインテナンスの受診が必須です。

期間 受診回数
1~2年目 年2回以上
3~10年目 年1回以上

※お口の状態により、受診回数が増える場合があります。
※メインテナンス費用は保証に含まれず、患者様のご負担となります。

保証の対象となるケース

  • 所定のメインテナンスを受けたうえで、インプラント体や上部構造が破損・脱落した場合
  • 偶発的な事故などによってインプラント部位が損傷した場合
インプラント10年保証書の画像

料金のご案内

各治療の費用については、下記の「料金表」ページをご参照ください。

院長と副院長が並んで微笑んでいる様子

初診相談のご案内

当院では、患者さま一人ひとりのお口のお悩みや不安に寄り添い、丁寧にお応えする機会を設けています。

どんな些細なことでも構いませんので、安心してご相談ください。

ご興味のある方は、下記よりお問い合わせください。